Comparison

Anti-Growth Hormone/GH1 Antibody Picoband® European Partner

Item no. BOS-RP1007-FITC
Manufacturer Boster
Amount 100 ug
Quantity options 100 ug/vial 10 ug 100 ug 100 ug 100 ug 100 ug 100 ug 100 ug 100 ug 100 ug 100 ug 100 ug 100 ug
Category
Type Antibody Polyclonal
Format Lyophilized
Applications WB, IHC, ELISA
Specific against Rat (Rattus norvegicus)
Host Rabbit
Isotype IgG
Conjugate/Tag FITC
Sensitivity >5000 cells
Sequence Belongs to the heparin-binding growth factors family.
Citations 1. Niall, H. D.; Hogan, M. L.; Sauer, R.; Rosenblum, I. Y.; Greenwood, F. C. : Sequence of pituitary and placental lactogenic and growth hormones: evolution from a primordial peptide by gene reduplication. Proc. Nat. Acad. Sci. 68: 866-869, 1971.
2. Sundstrom, M.; Lundqvist, T.; Rodin, J.; Giebel, L. B.; Milligan, D.; Norstedt, G. : Crystal structure of an antagonist mutant of human growth hormone, G120R, in complex with its receptor at 2.9 angstrom resolution. J. Biol. Chem. 271: 32197-32203, 1996.
ECLASS 10.1 32160702
ECLASS 11.0 32160702
UNSPSC 12352203
Alias Somatotropin,Growth hormone,Gh1,Gh
Available
Manufacturer - Category
Primary Antibodies
Storage Conditions
Store at -20°C for one year from date of receipt. After reconstitution, at 4°C for one month. It can also be aliquotted and stored frozen at -20°C for six months. Avoid repeated freeze-thaw cycles.
Observed Molecular weight
22 kDa
Calculated Molecular weight
24656 MW
Clonality
Polyclonal
Application Details
Western blot, 0.1-0.5μg/ml, Rat
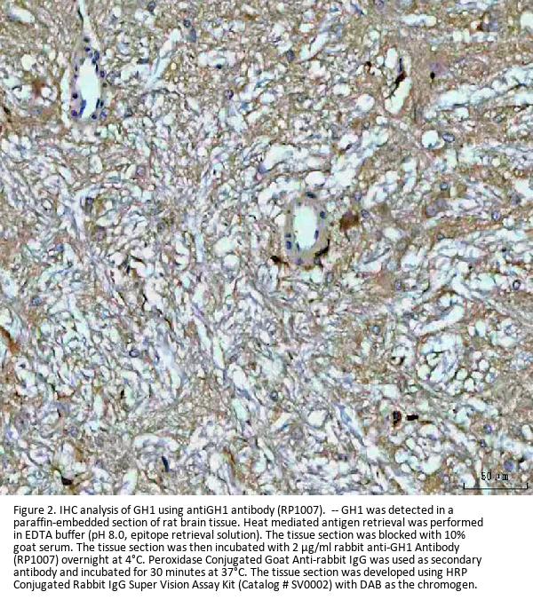
Immunohistochemistry (Paraffin-embedded Section), 2-5μg/ml, Rat
ELISA, 0.1-0.5μg/ml
Gene Name
GH1
Gene Full Name
Somatotropin
Manufacturer - Specificity
No cross reactivity with other proteins.
Background
Growth Hormone (GH) is mapped to 17q22-q24. Human growth hormone has a molecular mass of 22, 005 and contains 191 amino acid residues with 2 disulfide bridges. Rat GH shares 98% amino acid sequence homology with mouse. It binds two receptor molecules and thereby induces signal transduction through receptor dimerization. At high concentrations, GH acts as an antagonist because of a large difference in affinities at the respective binding sites.
Immunogen
E. coli-derived rat GH recombinant protein (Position: F27-F216).
Contents
Each vial contains 4 mg Trehalose, 0.9 mg NaCl and 0.2 mg Na2HPO4.
Purification
Immunogen affinity purified.
Reconstitution
Add 0.2ml of distilled water will yield a concentration of 500ug/ml.
Concentration
Adding 0.2 ml of distilled water will yield a concentration of 500 μg/ml.
Manufacturer - Research Category
Developmental Biology, Growth Factors/Hormones, Signal Transduction
Protein Name
Somatotropin
Protein Function
Plays an important role in growth control. Its major role in stimulating body growth is to stimulate the liver and other tissues to secrete IGF-1. It stimulates both the differentiation and proliferation of myoblasts. It also stimulates amino acid uptake and protein synthesis in muscle and other tissues.
Subcellular Localization
Secreted.
Description
Boster Bio Anti-Growth Hormone/GH1 Antibody catalog # RP1007. Tested in ELISA, IHC, WB applications. This antibody reacts with Rat. The brand Picoband indicates this is a premium antibody that guarantees superior quality, high affinity, and strong signals with minimal background in Western blot applications. Only our best-performing antibodies are designated as Picoband, ensuring unmatched performance.
Tissue Specificity
Expressed in granulosa and cumulus cells. Expressed in hepatocellular carcinoma cells, but not in non- cancerous liver tissue.
Sequence Similarities
Belongs to the heparin-binding growth factors family.
Manufacturer - Cross Reactivity
No cross-reactivity with other proteins

Note: The presented information and documents (Manual, Product Datasheet, Safety Datasheet and Certificate of Analysis) correspond to our latest update and should serve for orientational purpose only. We do not guarantee the topicality. We would kindly ask you to make a request for specific requirements, if necessary.

All products are intended for research use only (RUO). Not for human, veterinary or therapeutic use.

Amount: 100 ug
Available: In stock
available

Compare

Add to wishlist

Get an offer

Request delivery time

Ask a technical question

Submit a bulk request

Questions about this Product?