Comparison

SEMA5A Antibody

Item no. CSB-PA613413LA01HU-50ug
Manufacturer Cusabio
Amount 50 ug
Quantity options 100 ug 20 ug 50 ug
Category
Type Antibody Polyclonal
Format Liquid
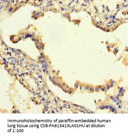
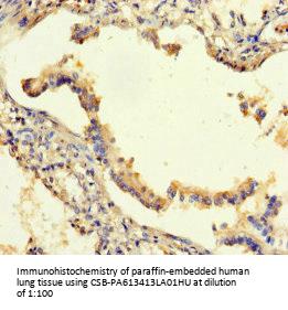
Applications IF, IHC, ELISA
Specific against Human (Homo sapiens)
Host Rabbit
Isotype IgG
Conjugate/Tag Unconjugated
ECLASS 10.1 32160702
ECLASS 11.0 32160702
UNSPSC 12352203
Alias SEMA5A antibody; SEMAF antibody; Semaphorin-5A antibody; Semaphorin-F antibody; Sema F antibody
Similar products SEMA5A, SEMAF, Semaphorin-5A (Semaphorin-F) (Sema F)
Available
Manufacturer - Type
Polyclonal Antibody
Manufacturer - Targets
SEMA5A
Storage Conditions
Upon receipt, store at -20°C or -80°C. Avoid repeated freeze.
Immunogen Species
Human
Immunogen
Recombinant Human Semaphorin-5A protein (201-400AA)
Dilution
ELISA:1:2000-1:10000
IHC:1:20-1:200
IF:1:50-1:500
Background
Bifunctional axonal guidance cue regulated by sulfated proteoglycans, attractive effects result from interactions with heparan sulfate proteoglycans (HSPGs), while the inhibitory effects depend on interactions with chondroitin sulfate proteoglycans (CSPGs). Ligand for receptor PLXNB3. In glioma cells, SEMA5A stimulation of PLXNB3 results in the disassembly of F-actin stress fibers, disruption of focal adhesions and cellular collapse as well as inhibition of cell migration and invasion through ARHGDIA-mediated inactivation of RAC1. May promote angiogenesis by increasing endothelial cell proliferation and migration and inhibiting apoptosis.
Buffer
Preservative: 0.03% Proclin 300
Constituents: 50% Glycerol, 0.01M PBS, PH 7.4
Purification Method
>95%, Protein G purified
General Research Areas
Others
Antigen Species
Human
Antigen
Recombinant Human Semaphorin-5A protein (201-400AA)
Clonality
Polyclonal

Note: The presented information and documents (Manual, Product Datasheet, Safety Datasheet and Certificate of Analysis) correspond to our latest update and should serve for orientational purpose only. We do not guarantee the topicality. We would kindly ask you to make a request for specific requirements, if necessary.

All products are intended for research use only (RUO). Not for human, veterinary or therapeutic use.

Amount: 50 ug
Available: In stock
available

Compare

Add to wishlist

Get an offer

Request delivery time

Ask a technical question

Submit a bulk request

Questions about this Product?
 
Close