Comparison

USP7 Recombinant Monoclonal Antibody

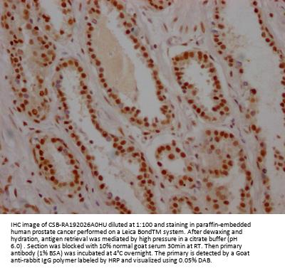
Item no. CSB-RA192026A0HU-50ul
Manufacturer Cusabio
Amount 50 ul
Quantity options 100 ul 50 ul
Category
Type Antibody Monoclonal
Format Liquid
Applications WB, IF, IHC, ELISA
Clone 7F10
Specific against Human (Homo sapiens)
Host Rabbit
Isotype IgG
Conjugate/Tag Unconjugated
ECLASS 10.1 42030590
ECLASS 11.0 42030590
UNSPSC 12352203
Alias Ubiquitin carboxyl-terminal hydrolase 7 (EC 3.4.19.12) (Deubiquitinating enzyme 7) (Herpesvirus-associated ubiquitin-specific protease) (Ubiquitin thioesterase 7) (Ubiquitin-specific-processing protease 7),USP7,HAUSP
Similar products USP7, HAUSP, Ubiquitin carboxyl-terminal hydrolase 7 (EC 3.4.19.12) (Deubiquitinating enzyme 7) (Herpesvirus-associated ubiquitin-specific protease) (Ubiquitin thioesterase 7) (Ubiquitin-specific-processing protease 7)
Available
Manufacturer - Type
Recombinant Antibody
Manufacturer - Applications
ELISA, WB, IHC, IF; Recommended dilution: WB:1:500-1:5000, IHC:1:50-1:200, IF:1:20-1:200
Manufacturer - Isotype
Rabbit IgG
Manufacturer - Targets
USP7
Storage Conditions
Upon receipt, store at -20°C or -80°C. Avoid repeated freeze.
Immunogen
A synthesized peptide derived from human HAUSP / USP7
Dilution
WB:1:500-1:5000, IHC:1:50-1:200, IF:1:20-1:200
Background
Hydrolase that deubiquitinates target proteins such as FOXO4, p53/TP53, MDM2, ERCC6, DNMT1, UHRF1, PTEN and DAXX (PubMed:11923872, PubMed:15053880, PubMed:16964248, PubMed:18716620, PubMed:25283148). Together with DAXX, prevents MDM2 self-ubiquitination and enhances the E3 ligase activity of MDM2 towards p53/TP53, thereby promoting p53/TP53 ubiquitination and proteasomal degradation (PubMed:15053880, PubMed:16845383, PubMed:18566590, PubMed:20153724). Deubiquitinates p53/TP53, preventing degradation of p53/TP53, and enhances p53/TP53-dependent transcription regulation, cell growth repression and apoptosis (PubMed:25283148). Deubiquitinates p53/TP53 and MDM2 and strongly stabilizes p53/TP53 even in the presence of excess MDM2, and also induces p53/TP53-dependent cell growth repression and apoptosis (PubMed:11923872). Deubiquitination of FOXO4 in presence of hydrogen peroxide is not dependent on p53/TP53 and inhibits FOXO4-induced transcriptional activity (PubMed:16964248). In association with DAXX, is involved in the deubiquitination and translocation of PTEN from the nucleus to the cytoplasm, both processes that are counteracted by PML (PubMed:18716620). Involved in cell proliferation during early embryonic development. Involved in transcription-coupled nucleotide excision repair (TC-NER) in response to UV damage: recruited to DNA damage sites following interaction with KIAA1530/UVSSA and promotes deubiquitination of ERCC6, preventing UV-induced degradation of ERCC6 (PubMed:22466611, PubMed:22466612). Involved in maintenance of DNA methylation via its interaction with UHRF1 and DNMT1: acts by mediating deubiquitination of UHRF1 and DNMT1, preventing their degradation and promoting DNA methylation by DNMT1 (PubMed:21745816, PubMed:22411829). Acts as a chromatin regulator via its association with the Polycomb group (PcG) multiprotein PRC1-like complex; may act by deubiquitinating components of the PRC1-like complex (PubMed:20601937). Able to mediate deubiquitination of histone H2B; it is however unsure whether this activity takes place in vivo (PubMed:20601937). Exhibits a preference towards 'Lys-48'-linked ubiquitin chains (PubMed:22689415). Increases regulatory T-cells (Treg) suppressive capacity by deubiquitinating and stabilizing the transcription factor FOXP3 which is crucial for Treg cell function (PubMed:23973222).
Buffer
Rabbit IgG in 10mM phosphate buffered saline , pH 7.4, 150mM sodium chloride, 0.05% BSA, 0.02% sodium azide and 50% glycerol.
Purification Method
Affinity-chromatography
General Research Areas
Epigenetics and Nuclear Signaling; Cancer; Cell biology; Microbiology
Modified
Epigenetics and Nuclear Signaling; Cancer; Cell biology; Microbiology
Antigen Species
Human
Antigen
A synthesized peptide derived from human HAUSP / USP7
Clonality
Monoclonal

Note: The presented information and documents (Manual, Product Datasheet, Safety Datasheet and Certificate of Analysis) correspond to our latest update and should serve for orientational purpose only. We do not guarantee the topicality. We would kindly ask you to make a request for specific requirements, if necessary.

All products are intended for research use only (RUO). Not for human, veterinary or therapeutic use.

Amount: 50 ul
Available: In stock
available

Compare

Add to wishlist

Get an offer

Request delivery time

Ask a technical question

Submit a bulk request

Questions about this Product?
 
Close