Comparison

Anti-CEA Antibody (Center) European Partner

Item no. BOS-A00356-1-400ul
Manufacturer Boster
Amount 400 ul
Quantity options 400 ul 80 ul
Category
Applications WB, FC, IHC-P
Specific against Human (Homo sapiens)
Host Rabbit
Isotype IgG
Alias Carcinoembryonic antigen-related cell adhesion molecule 5,Carcinoembryonic antigen,CEA,Meconium antigen 100,CD66e,CEACAM5,CEA
Available
Manufacturer - Applications
IHC-P-Leica, Flow Cytometry, WB
Manufacturer - Category
Primary Antibodies
Storage Conditions
Maintain refrigerated at 2-8°C for up to 2 weeks. For long-term storage, store at -20°C in small aliquots to prevent freeze-thaw cycles.
Molecular Weight
76796 Da
Clonality
Polyclonal
Application Details
WB: 1:1000
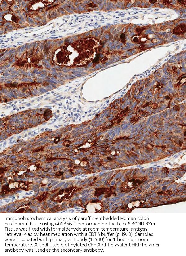
IHC-P-Leica: 1:500
FC: 1:10-1:50
Gene Name
CEACAM5
Background
CEA is a cell surface glycoprotein that plays a role in cell adhesion and in intracellular signaling. It is a receptor for E.coli Dr adhesins.
Immunogen
This CEA antibody is generated from rabbits immunized with a KLH conjugated synthetic peptide between 400-429 amino acids from the Central region of human CEA.
Contents
Purified polyclonal antibody supplied in PBS with 0.09% (W/V) sodium azide.
Purification
This antibody is purified through a protein A column, followed by peptide affinity purification.
Manufacturer - Research Category
Cancer, Immunology, Microbiology, Signal Transduction
Protein Function
Cell surface glycoprotein that plays a role in cell adhesion, intracellular signaling and tumor progression (PubMed:2803308, PubMed:10910050, PubMed:10864933). Mediates homophilic and heterophilic cell adhesion with other carcinoembryonic antigen-related cell adhesion molecules, such as CEACAM6 (PubMed:2803308). Plays a role as an oncogene by promoting tumor progression; induces resistance to anoikis of colorectal carcinoma cells (PubMed:10910050).
Subcellular Localization
Cell membrane; Lipid-anchor, GPI-anchor. Apical cell membrane. Cell surface Note=Localized to the apical glycocalyx surface
Description
Boster Bio Anti-CEA Antibody (Center) (Catalog # A00356-1). Tested in IHC-P-Leica, Flow Cytometry, WB application(s). This antibody reacts with Human.
Tissue Specificity
Expressed in columnar epithelial and goblet cells of the colon (at protein level) (PubMed:10436421). Found in adenocarcinomas of endodermally derived digestive system epithelium and fetal colon.

Note: The presented information and documents (Manual, Product Datasheet, Safety Datasheet and Certificate of Analysis) correspond to our latest update and should serve for orientational purpose only. We do not guarantee the topicality. We would kindly ask you to make a request for specific requirements, if necessary.

All products are intended for research use only (RUO). Not for human, veterinary or therapeutic use.

Amount: 400 ul
Available: In stock
available

Compare

Add to wishlist

Get an offer

Request delivery time

Ask a technical question

Submit a bulk request

Questions about this Product?