Comparison

Recombinant Mouse Regenerating islet-derived protein 3-gamma(Reg3g)

Item no. CSB-EP019549MO-500
Manufacturer Cusabio
Amount 500 ug
Quantity options 1 mg 10 ug 100 ug 20 ug 200 ug 50 ug 500 ug
Category
Type Proteins Recombinant
Specific against other
Host E.coli
Conjugate/Tag HIS
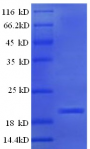
Purity Greater than 90% as determined by SDS-PAGE.
Sequence EVAKKDAPSSRSSCPKGSRAYGSYCYALFSVSKNW YDADMACQKRPSGHLVSVLSGAEASFLSSMIKSSG NSGQYVWIGLHDPTLGYEPNRGGWEWSNADVMNYI NWETNPSSSSGNHCGTLSRASGFLKWRENYCNLEL PYVCKFKA
Citations Innate Stat3-mediated induction of the antimicrobial protein Reg3gamma is required for host defense against MRSA pneumonia.Choi S.M., McAleer J.P., Zheng M., Pociask D.A., Kaplan M.H., Qin S., Reinhart T.A., Kolls J.K.J. Exp. Med. 210:551-561(2013)
ECLASS 10.1 32160409
ECLASS 11.0 32160409
UNSPSC 12352202
Alias Pancreatitis-associated protein 3Regenerating islet-derived protein III-gamma ,Reg III-gamma
Available
Manufacturer - Conjugate / Tag
N-terminal 6xHis-tagged
Storage Conditions
The shelf life is related to many factors, storage state, buffer ingredients, storage temperature and the stability of the protein itself.
Generally, the shelf life of liquid form is 6 months at -20C/-80C. The shelf life of lyophilized form is 12 months at -20C/-80C.
Molecular Weight
20.3 kDa
Buffer
Tris-based buffer, 50% glycerol
Relevance
Bactericidal C-type lectin which acts exclusively against Gram-positive bacteria and mediates bacterial killing by binding to surface-exposed carbohydrate moieties of peptidoglycan. Restricts bacterial colonization of the intestinal epithelial surface and consequently limits activation of adaptive immune responses by the microbiota. The uncleaved form has bacteriostatic activity, whereas the cleaved form has bactericidal activity against L.monocytogenes and methicillin-resistant S.aureus. Regulates keratinocyte proliferation and differentiation after skin injury
Expression Region
27-174aa
Notes
Repeated freezing and thawing is not recommended. Store working aliquots at 4C for up to one week.
Function
Bactericidal C-type lectin which acts exclusively against Gram-positive bacteria and mediates bacterial killing by binding to surface-exposed carbohydrate moieties of peptidoglycan. Restricts bacterial colonization of the intestinal epithelial surface and consequently limits activation of adaptive immune responses by the microbiota. The uncleaved form has bacteriostatic activity, whereas the cleaved form has bactericidal activity against L.monocytogenes and methicillin-resistant S.aureus. Regulates keratinocyte proliferation and differentiation after skin injury.
Subcellular Location
Secreted, Cytoplasm
Tissue Specificity
Predominantly expressed in the small intestine, including Paneth cells (at protein level). Hardly detectable in the colon (at protein level). Highly expressed in the lung epithelium during methicillin-resistant S.aureus infection (at protein level). Skin injury increases its epidermal expression. Also expressed in the pancreas.
Gene Names
Reg3g
Sequence Info
Full Length of Mature Protein
Organism
Mus musculus (Mouse)

Note: The presented information and documents (Manual, Product Datasheet, Safety Datasheet and Certificate of Analysis) correspond to our latest update and should serve for orientational purpose only. We do not guarantee the topicality. We would kindly ask you to make a request for specific requirements, if necessary.

All products are intended for research use only (RUO). Not for human, veterinary or therapeutic use.

Amount: 500 ug
Available: In stock
available

Compare

Add to wishlist

Get an offer

Request delivery time

Ask a technical question

Submit a bulk request

Questions about this Product?
 
Close