Comparison

Anti-Phospho-MAP2K1-Thr292 antibody (261-310 aa) (STJ90326) European Partner

Item no. STJ90326-200
Manufacturer St John's Laboratory
Amount 200 ug
Quantity options 100 ug 20 ug 200 ug 50 ug
Category
Type Antibody Polyclonal
Format Liquid
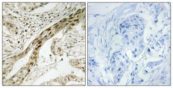
Applications WB, IF, IHC, ELISA
Specific against Human (Homo sapiens), Mouse (Murine, Mus musculus), Rat (Rattus norvegicus)
Host Rabbit
Isotype IgG
Conjugate/Tag Unconjugated
ECLASS 10.1 32160702
ECLASS 11.0 32160702
UNSPSC 12352203
Alias Anti-Dual Specificity Mitogen-Activated Protein Kinase Kinase 1 antibody, Anti-Map Kinase Kinase 1 antibody, Anti-Mapkk 1 antibody, Anti-Mkk1 antibody, Anti-Erk Activator Kinase 1 antibody, Anti-Mapk/Erk Kinase 1 antibody, Anti-Mek 1 antibody, Anti-MAP2K1 MEK1 PRKMK1 antibody
Similar products Anti-Dual Specificity Mitogen-Activated Protein Kinase Kinase 1 antibody
Anti-Map Kinase Kinase 1 antibody
Anti-Mapkk 1 antibody
Anti-Mkk1 antibody
Anti-Erk Activator Kinase 1 antibody
Anti-Mapk/Erk Kinase 1 antibody
Anti-Mek 1 ant
Available
Manufacturer - Type
Primary antibodies
Manufacturer - Targets
MAP2K1
Storage Conditions
Store at-20°C for up to 1 year from the date of receipt, and avoid repeat freeze-thaw cycles.
Formulation
Liquid in PBS containing 50% Glycerol, 0.5% BSA and 0.02% Sodium Azide.
Concentration
1 mg/mL
Purification
The antibody was affinity-purified from rabbit antiserum by affinity-chromatography using epitope-specific immunogen.
Immunogen
The antiserum was produced against synthesized peptide derived from the human MEK1 around the phosphorylation site of Thr291 at the amino acid range 261-310
Clonality
Polyclonal
Gene symbol
MAP2K1
Dilution range
WB 1:500-1:2000
IHC 1:100-1:300
IF 1:200-1:1000
ELISA 1:10000
Note
STRICTLY FOR FURTHER SCIENTIFIC RESEARCH USE ONLY (RUO). MUST NOT TO BE USED IN DIAGNOSTIC OR THERAPEUTIC APPLICATIONS.
Immunogen Region
261-310 aa
Manufacturer - Specificity
Phospho-MEK-1 (T292) Polyclonal Antibody detects endogenous levels of MEK-1 protein only when phosphorylated at T292.

Note: The presented information and documents (Manual, Product Datasheet, Safety Datasheet and Certificate of Analysis) correspond to our latest update and should serve for orientational purpose only. We do not guarantee the topicality. We would kindly ask you to make a request for specific requirements, if necessary.

All products are intended for research use only (RUO). Not for human, veterinary or therapeutic use.

Amount: 200 ug
Available: In stock
available

Delivery expected until 12/4/2025 

Compare

Add to wishlist

Get an offer

Request delivery time

Ask a technical question

Submit a bulk request

Questions about this Product?
 
Close