Comparison

Recombinant Mouse CD81 antigen(Cd81),partial

Item no. CSB-EP004960MO-1
Manufacturer Cusabio
Amount 1 mg
Quantity options 1 mg 10 ug 100 ug 20 ug 200 ug 50 ug 500 ug
Category
Type Proteins Recombinant
Specific against other
Host E.coli
Conjugate/Tag GST
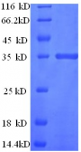
Purity Greater than 90% as determined by SDS-PAGE.
Sequence KDQIAKDVKQFYDQALQQAVMDDDANNAKAVVKTF HETLNCCGSNALTTLTTTILRNSLCPSGGNILTPL LQQDCHQKIDELFSGK
Protein Family Tetraspanin (TM4SF) family
Citations Possible involvement of CD81 in acrosome reaction of sperm in mice.Tanigawa M., Miyamoto K., Kobayashi S., Sato M., Akutsu H., Okabe M., Mekada E., Sakakibara K., Miyado M., Umezawa A., Miyado K.Mol. Reprod. Dev. 75:150-155(2008)
ECLASS 10.1 32160409
ECLASS 11.0 32160409
UNSPSC 12352202
Alias 26KDA cell surface protein TAPA-1Target of the antiproliferative antibody 1,CD81
Available
Manufacturer - Conjugate / Tag
N-terminal GST-tagged
Storage Conditions
The shelf life is related to many factors, storage state, buffer ingredients, storage temperature and the stability of the protein itself.
Generally, the shelf life of liquid form is 6 months at -20C/-80C. The shelf life of lyophilized form is 12 months at -20C/-80C.
Molecular Weight
36.4 kDa
Buffer
If the delivery form is liquid, the default storage buffer is Tris/PBS-based buffer, 5%-50% glycerol.
If the delivery form is lyophilized powder, the buffer before lyophilization is Tris/PBS-based buffer, 6% Trehalose, pH 8.0.
Relevance
May play an important role in the regulation of lymphoma cell growth. May be involved in the acrosome reaction.
Expression Region
116-201aa
Reconstitution
We recommend that this vial be briefly centrifuged prior to opening to bring the contents to the bottom. Please reconstitute protein in deionized sterile water to a concentration of 0.1-1.0 mg/mL.We recommend to add 5-50% of glycerol (final concentration) and aliquot for long-term storage at -20C/-80C. Our default final concentration of glycerol is 50%. Customers could use it as reference.
Notes
Repeated freezing and thawing is not recommended. Store working aliquots at 4C for up to one week.
Function
May play an important role in the regulation of lymphoma cell growth. May be involved in the acrosome reaction.
Subcellular Location
Basolateral cell membrane, Multi-pass membrane protein
Tissue Specificity
Expressed in oocytes. Highly expressed in granulosa cells.
Gene Names
Cd81
Sequence Info
Partial
Organism
Mus musculus (Mouse)
Manufacturer - Format
Liquid or Lyophilized powder

Note: The presented information and documents (Manual, Product Datasheet, Safety Datasheet and Certificate of Analysis) correspond to our latest update and should serve for orientational purpose only. We do not guarantee the topicality. We would kindly ask you to make a request for specific requirements, if necessary.

All products are intended for research use only (RUO). Not for human, veterinary or therapeutic use.

Amount: 1 mg
Available: In stock
available

Compare

Add to wishlist

Get an offer

Request delivery time

Ask a technical question

Submit a bulk request

Questions about this Product?
 
Close